Bluthochdruckbehandlung und -diagnostik | Marien Hospital Herne
Zu den Inhalten springen
Marien Hospital Herne
St. Elisabeth Gruppe
HomeHome
Institut für Diagnostische, Interventionelle Radiologie und Nuklearmedizin

Bluthochdruckbehandlung und Bluthochdruckdiagnostik in der interventionellen Radiologie

Ist der Blutdruck über lange Zeit erhöht kann dies nicht nur zu Herzerkrankungen führen, auch ein Schlaganfall oder Nierenversagen können schwerwiegende Folgen von Bluthochdruck sein. In einigen Fällen ist der Bluthochdruck jedoch schwer einstellbar. Dann muss eine umfassende Diagnostik durch die Medizinische Klinik I - Allgemeine Innere, Nephrologie, Gastroenterologie, Pneumologie erfolgen. Abhängig vom Ergebnis der Untersuchungen bestehen verschiedene  Diagnosik- und Behandlungsmethoden, die vom Institut für Diagnostische, Interventionelle Radiologie und Nuklearmedizin u.a. in Zusammenarbeit mit der Medizinischen Klinik ll Kardiologie/Angiologie des Marien Hospital Herne durchgeführt werden.

Ursachen für einen sekundären Bluthochdruck

Das sogenannte Conn-Syndrom (primärer Hyperaldosteronismus) ist der häufigste nachweisbare Grund für einen sekundären arteriellen Bluthochdruck. Bei diesem Syndrom werden zu große Mengen des Hormons Aldosteron gebildet.

Gründe für eine zu hohe Aldosteron-Produktion kann ein Adenom der Nebennieren oder eine beidseitige Nebennierenvergrößerung (adrenale Hyperplasie) für die es jeweils unterschiedliche Behandlungsmöglichkeiten gibt. Die weitere Abklärung kann über eine sogenannte seitengetrennnte selektive Blutentnahme aus den Nebennierenvenen (NNVBE) erfolgen.

Auch die Niere hat eine große Bedeutung bei der Regulierung des Blutdrucks. Die Behandlung von Nierenarterienstenose oder die Unterbrechung von Nervenbahnen, die die Nierenarterien umgebenden, kann zu einer Senkung des Blutdrucks oder einer Verminderung von Blutdruckschwankungen führen. Ob ein Eingriff erforderlich und sinnvoll ist, wird durch Spezialisten für Bluthochdruckerkrankungen entschieden.

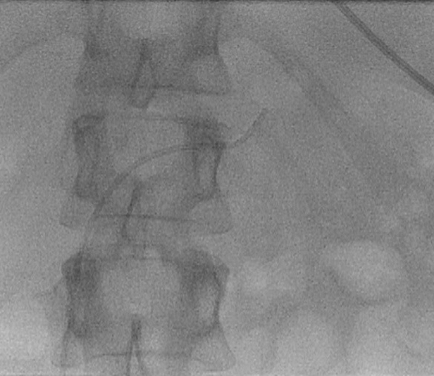
Seitengetrennte Nebennierenvenenblutentnahmen (NNVBE)

Ist die Ursache für den bestehenden sekundären Bluthochdruck nicht im MRT oder CT sichtbar bzw. wird ein Adenom der Nebenniere vermutet, kann eine seitengetrennte Nebennierenvenenblutentnahme Aufschluss über Seitenlokalisation geben.

Bei der seitengetrennten Nebennierenvenenblutentnahme wird ein Katheter durch die Leistenvene bis in die linke Nebennierenvene vorgeschoben. Es folgt dann eine selektive Blutentnahme mit speziellen Kathetern aus der Nebennierenvene beidseits.

Nach Untersuchung der so gewonnenen Blutproben kann festgestellt werden, ob eine der Nebennieren zu viel des blutdrucksteigernden Hormons Aldosteron produziert.

Nebennierenvenenblutentnahme an der linken Nebennierenvene.

Nebennierenvenenblutentnahme an der linken Nebennierenvene.

Nebennierenvenenblutentnahme an der rechten Nebennierenvene.

Nebennierenvenenblutentnahme an der rechten Nebennierenvene.

Behandlungen von Nierenarterienstenosen (NAST)

Bei der Behandlung von Nierenarterienstenosen wird nach Punktion der Leistenarterie ein Katheter bis an die verengte Stelle in der Nierenarterie vorgeschoben. Über einen speziellen Führungsdraht wird bei diesem minimal-invasivem Verfahren eine Gefäßstütze (Stent) bis zur Engstelle vorgeschoben. Dieser Stent hilft dann dabei die Engstelle zu weiten und die Arterie offen zu halten.

Sondierung einer verengten Stelle der Nierenarterie mit einem Führungsdraht.

Sondierung einer verengten Stelle der Nierenarterie mit einem Führungsdraht.

Implantierte Gefäßstütze in der Nierenarterie.

Implantierte Gefäßstütze (Stent) in der Nierenarterie.

Renale Denervierung (RDN-Therapie)

Nervenbahnen entlang der Nierenarterien können den Blutdruck beeinflussen. Diese Nervenbahnen können durch spezielle Katheter mit Ulraschallwellen verödet werden. Durch die Leistenarterie kann in einem minimal-invasivem Eingriff dieser spezielle Katheter bis zur Nierenarterie vorgeschoben werden. Die Blutgefäße werden während des Eingriffs angiographisch kontrolliert und der Katheter so exakt positioniert. Im Anschluss erfolgt die Nervenverödung. Diese Eingriffe werden in Zusammenarbeit mit der Medizinischen Klinik ll Kardiologie/Angiologie des Marien Hospital Herne durchgeführt.

© Marien Hospital Herne | Impressum | . Datenschutz | . Datenschutz­einstellungen anpassen.